Peste 12.000 de români sunt diagnosticați în fiecare an cu cancer pulmonar

0

Cancerul pulmonar este cel mai frecvent tip de cancer din România,  cauzează anual cele mai multe decese și cei mai mulți ani de viaţă pierduți prin decese premature. Depistarea din vreme înseamnă opțiuni mai bune de tratament și o calitate mai bună a vieții, spun medicii. Românii întârzie să meargă la medic pentru că nu cunosc simptomele și le e teamă de un diagnostic grav.

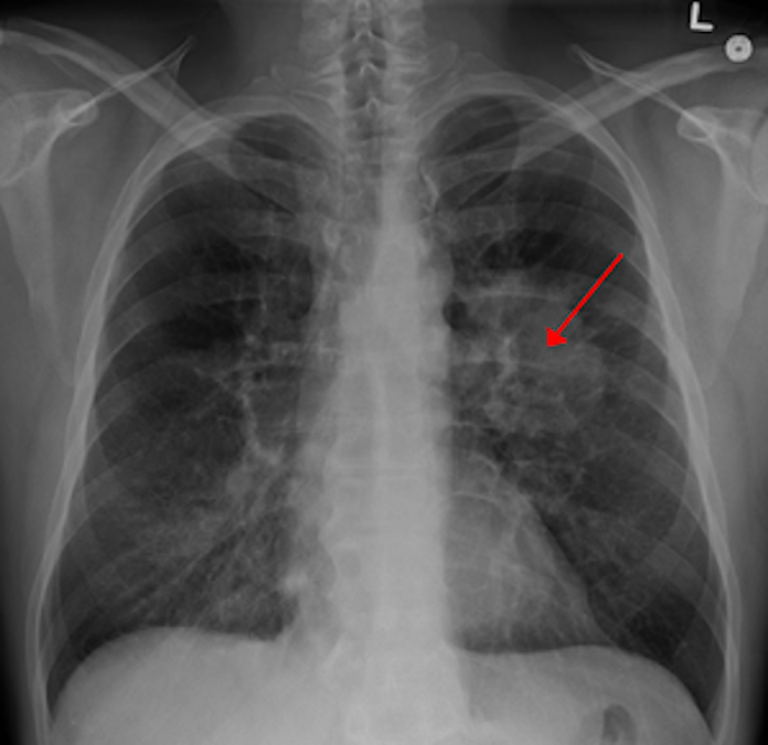
Cancerul pulmonar reprezintă creșterea necontrolată a unor celule anormale la nivelul plămânilor. Spre deosebire de celulele normale, celulele canceroase cresc fără ordine sau control, distrugând țesutul pulmonar sănătos din jurul lor. Aceste tipuri de tumori se numesc tumori maligne. Când celulele canceroase se răspândesc, acestea împiedică funcționarea corectă a organelor corpului.

În România, cancerul pulmonar se situează pe primul loc, atât ca număr de cazuri, cât și ca număr de decese în rândul bărbaților și devine o cauză frecventă de mortalitate în rândul femeilor, situându-se pe locul 4, după cancerul de sân, colorectal și cancerul de col uterin.

Cancerul de plămâni este diagnosticat mai frecvent la persoanele de peste 65 de ani, dar poate apărea și la persoane mai tinere⁴. 

Există două tipuri principale de cancer pulmonar:

  • cancerul pulmonar fără celule mici (NSCLC) – este cel mai frecvent tip, reprezentând 80% din numărul total de cazuri de cancer pulmonar,
  • cancerul pulmonar cu celule mici (SCLC).

Simptomele cancerului pulmonar

  • Tuse persistentă sau care se înrăutățește în timp sau cu sânge;
  • Respirație îngreunată;
  • Durere persistentă în piept sau umăr, care se agravează odată cu respirația profundă, tuse sau râs;
  • Infecții pulmonare repetate;
  • Pierderea poftei de mâncare;
  • Pierderea în rapidă în greutate;
  • Senzație de oboseală sau slăbiciune, care durează mai mult de patru săptămâni.

„Cel mai important lucru pe care trebuie să îl rețină oamenii este că dacă tușesc cu sânge sau tușesc de mai mult de trei săptămâni, deși au luat un tratament, trebuie să meargă la medicul de familie. Aceeași recomandare este dacă au câteva dintre celelalte simptome de mai sus.” spune Daciana Toma, medic de familie, vicepreședinta Societății Naționale de Medicina Familiei.

Factorii de risc ai cancerului pulmonar

Fumatul este considerat principalul factor de risc pentru cancerul pulmonar. Riscul de a dezvolta cancer pulmonar este între 15% si 30% mai mare la fumători, în raport cu cei care nu fumează. Acest risc crește cu numărul anilor de fumat și cu numărul de țigări fumate pe zi⁵.

  • Alți factori de risc:
  • Expunerea la radon, un gaz radioactiv;
  • Expunerea la un mediu chimic în care sunt prezente substanțe precum azbestul sau arsenicul;
  • Agenţi poluanţi;
  • Fumatul pasiv;
  • Boli pulmonare pre-existente;
  • Istoric familial de tumori pulmonare.

CIFRE

  • Cancerul pulmonar este cel mai frecvent tip de cancer diagnosticat în România -12.122 de cazuri pe an.¹
  • Cancerul pulmonar este pe primul loc în topul deceselor prin cancer – 10.779 decese pe an.¹
  • Cancerul pulmonar are cea mai ridicată povară a bolii – cei mai mulți ani de viaţă pierduți prin decese premature (de trei ori mai mare decât cea a cancerului de sân). 
  • 75% dintre cazuri sunt diagnosticate în stadii inoperabile ale afecţiunii.

PROFILUL PACIENTULUI CU CANCER PULMONAR DIN ROMÂNIA

  • 85% sunt fumători cronici;
  • este întâlnit preponderent la bărbaţi, dar se află în creștere și la sexul feminin;
  • 50% dintre pacienţi au vârste cuprinse între 45 și 65 de ani;
  • educaţia medicală precară determină pacienţii să solicite consultul medical în general în stadii avansate ale bolii, când doar 20-25% sunt operabili;
  • sub 5% sunt descoperiţi întâmplător, la controale de rutină;
  • fără tratament, majoritatea pacienţilor decedează în primul an de la diagnostic.

VEZI ȘI:

Chirurgul clujean Achimaș-Cadariu lucrează la un plan menit să-i aducă pe bolnavii de cancer pulmonar mai repede la tratament

Fumatul, principalul factor de risc în cancerul pulmonar

Cancerul bronho-pulmonar: 85% dintre cazuri apar la fumători

banner